Management of Total Knee Arthroplasty in Post-Traumatic Malunion with Severe Deformity

Knee
Total knee replacement
Management of Total Knee Arthroplasty in Post-Traumatic Malunion with Severe Deformity

Managing knee osteoarthritis in the context of a long‑standing post‑traumatic deformity presents substantial technical and strategic challenges. In this case, severe malalignment, instability, and an intricate infectious history demand a careful evaluation of the available reconstructive options.

Nicolas Vari
CHU Toulouse, France
Orthopaedic surgeon
Etienne Cavaignac
CHU Toulouse, FRANCE
Course Director

I am an orthopedic surgeon specialized in knee surgery. I practice at the University Hospital of Toulouse in the University Sports Clinic located in the Pierre Paul Riquet Hospital.
In addition to teaching at the Faculty of Medicine, I participate in courses for the professional societies to which I belong such as the SFA, ESSKA and SOFCOT.
My clinical activity (more than 800 surgeries per year) is exclusively focused on knee surgery. An important part of my surgeries is related to sports traumatology, in particular anterior cruciate ligament injuries (350+ ACL reconstructions per year).
My research activity is also focused on the knee. I have contributed to more than 110 publications in international journals. I am developing an à la carte approach in order to propose a personalized surgery to the patient. In the context of degenerative activity, the aim is to better analyze the variability of the anatomy in order to be able to propose prostheses adapted to the patient's anatomy. In the context of sports traumatology, it is a question of improving the dismemberment of all the lesions in order to propose an adequate therapy.
Since May 2022, I am a member of the board of ESSKA (European Society of Sports Traumatology Knee Surgery and Arthroscopy) as treasurer.

Part one
Clinical presentation
  • Male, 67 years old
  • Complex open leg fracture >20 years ago, complicated by infection and skin disorders
  • Tricompartmental knee osteoarthritis resistant to conservative treatment

Clinical examination:

  • Skin relatively supple
  • ROM 0/5/110
  • Varus deformity ~20°, partially reducible
  • Lateral laxity in extension and at 30° of flexion
  • Lateral joint opening during gait

Imaging

Management-of-Total-Knee-Arthroplasty-in-Post-Traumatic-Malunion-figure1
Management-of-Total-Knee-Arthroplasty-in-Post-Traumatic-Malunion-figure2
 Powered by Quiz Maker

 

Part two

How would you treat this case?

  • ✔️Knee replacement with Patient-specific cutting guide on tibial side
  • ✔️Hinged knee prosthesis

How would you manage the history of infection?

  • ✔️Intraoperative tissue sampling and empirical antibiotic therapy

References

Libraty DH, Patkar C, Torres B. Staphylococcus aureus reactivation osteomyelitis after 75 years. N Engl J Med. 2012 Feb 2;366(5):481-2. doi: 10.1056/NEJMc1111493. PMID: 22296093; PMCID: PMC3872831.

Courvoisier A, Grimaldi M, Rubens-Duval B, Chaussard C, Saragaglia D. Flare-up of previously quiescent chronic osteomyelitis 20 years after childhood skeletal traction: a report of two cases. Orthop Traumatol Surg Res. 2011 Dec;97(8):886-9. doi: 10.1016/j.otsr.2011.05.016. Epub 2011 Nov 1. PMID: 22048070.

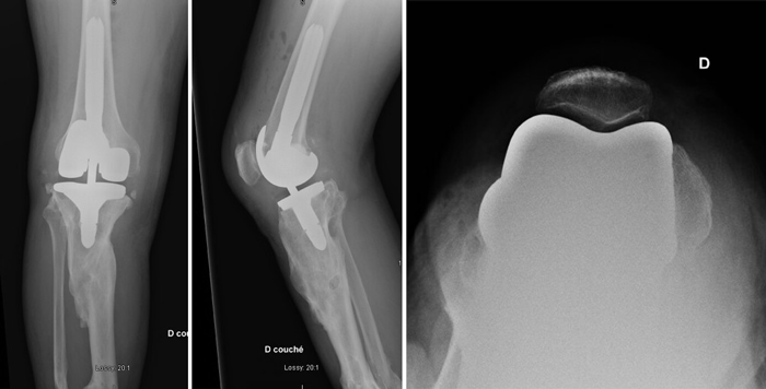
Final strategy decision

A Patient-specific cutting guide on tibial side and a hinged knee prosthesis were used (ADLER ORTHO CUSTOM MADE). Intraoperative tissue sampling was done and an empirical antibiotic therapy was applied before the bacteriological samples came back negative.

Management-of-Total-Knee-Arthroplasty-in-Post-Traumatic-Malunion-figure3
Management-of-Total-Knee-Arthroplasty-in-Post-Traumatic-Malunion-figure4
Management-of-Total-Knee-Arthroplasty-in-Post-Traumatic-Malunion-figure5
Management-of-Total-Knee-Arthroplasty-in-Post-Traumatic-Malunion-figure6

Post-operative X-Rays

Management-of-Total-Knee-Arthroplasty-in-Post-Traumatic-Malunion-figure7

Comments

Login or register to post comments.