Management of a post fracture complicated leg deformity with a 30° tibial slope

Knee
Complication
Osteotomy
Management of a post fracture complicated leg deformity with a 30° tibial slope

In this clinical case, discover which therapeutic option the team chose to treat a tibia fracture complicated by leg deformity in a 54-year-old active patient, where prosthetic replacement was nearly impossible due to the severity of the deformity.

Matthieu Ollivier
Marseille, FRANCE
IML

Matthieu Ollivier is currently a Professor of Orthopaedic Surgery at the Institute of Movement and Locomotion (Chairman: Pr Jean-Noel Argenson) at Aix-Marseille University Hospital, in Marseille, France. His clinical practice is dedicated to knee-related procedures, with a special focus on sports injuries (cartilage, meniscus, ligaments) and osteotomies. He is engaged in an academic field at Aix-Marseille University, teaching medical students, interns, orthopedic residents and fellows.

Thibaut Lucena
Pierre Paul Riquet Hospital, Toulouse, France
Orthopaedic surgeon
Part one
Clinical presentation
  • 54 y.o. man  
  • Suffering of flessum and leg deformity
  • Extension : -20° / flexion : 70°   
  • No infection signs
  • No skin suffering  
  • Medical history:   
    - 8 months ago : proximal tibia fracture, direct trauma 
    - Hit by snowboarder meanwhile skiing, 
    - Immediate surgery in another center 

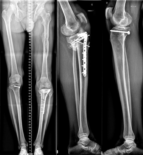
Post traumatic scan

Post traumatic scan

Clinical presentation

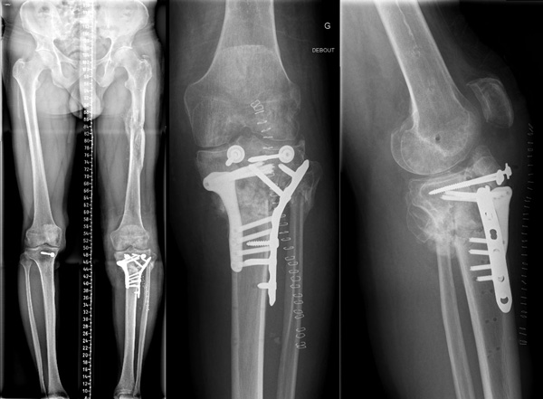
8 Months xrays

Knee stable but stiff walk without crusches

8 Months xrays Knee stable but stiff walk without crusches
 Powered by Quiz Maker

 

Part two

How would you manage this condition?

  • ✔️You plan an osteotomy

What’s the right answer about this case ?

  • ✔️Only option to manage high tibial slope and severe tibial varus is a tibial plateau leveling osteotomy 
Final strategy decision
  • Hardware Removal
  • Tibial plateau leveling osteotomy
  • Elevation of the inverted dome (only) medially
  • Fixation with 2 plates
  • The objective was to preserve the native articulation and cartilage, (which is not so bad), correct the slope and the varus in the same procedure to treat the flexum and achieve proper alignment for a possible future simple TKA.

Pre-operative planning

Aimed for slight varus (symetric)

Pre-operative planning

Intra-operative pictures

Intra-operative pictures
Intra-operative pictures
Intra-operative pictures
Intra-operative pictures

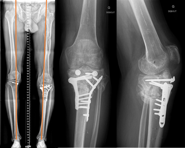
Post-operative X-Rays

Post-operative X-Rays

1 month

  • Complete extension
  • Flexion 140
  • Symetric varus
  • Ami
Post-operative X-Rays - 1 month
Post-operative X-Rays - 1 month

Login or register to post comments.