Management of a periprostetic femoral fracture

Hip
Management of a periprostetic femoral fracture

This clinical case presents the management of a periprosthetic femoral fracture occurring shortly after hemiarthroplasty in a 68-year-old patient. Based on the initial clinical presentation and imaging findings, how would you approach fracture assessment in this situation?

Vincent Marot
Escaldes, Andorra
Hospital Nostra Senyora de Meritxell
Part one
Clinical presentation
  • 68 year-old female
  • Walks with a walker because of a hydrocephaly treated 20 years ago
  • Left bipolar hemiarthrosplasty implanted 2 weeks ago for a Garden 4 neck fracture
  • Fall while walking

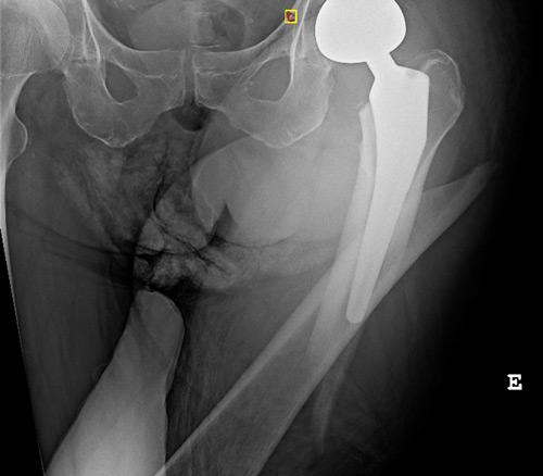
Imagery

Management of a peri prostetic femoral fracture: Imagery
Management of a peri prostetic femoral fracture: Imagery

Previous X-rays

Management of a peri prostetic femoral fracture: Previous X-rays
 Powered by Quiz Maker

 

Part two

What classification allows us to classify this fracture and what is its grade?

  • ✔️Vancouver classification grade B1

The French Society of Orthopedic Surgery and Traumatology (SoFCOT) recommended a specific Remaining Attachment Index (RAI) to asses residual fixation. Remaining Attachment Index < 2/3 in Vancouver B1 periprosthetic hip fracture is a risk factor for early implant loosening after isolated internal fixation

Remaining Attachment Index (RAI)
Andriamananaivo T, Odri GA, Ollivier M, Mattesi L, Renault A, Rongieras F, Pesenti S, Severyns M. Contribution of the remaining attachment index in the management of Vancouver B1 periprosthetic hip fracture. Orthop Traumatol Surg Res. 2020 Nov;106(7):1413-1417. doi: 10.1016/j.otsr.2020.06.016. Epub 2020 Oct 11. PMID: 33055000.

 

What could have been done to reduce the risk of this type of complication?

  • ✔️Cemented stem
  • ✔️Collared stem

How would you manage this condition? 

  • ✔️Femoral ORIF with a plate alone

Mondanelli N, Troiano E, Facchini A, Ghezzi R, Di Meglio M, Nuvoli N, Peri G, Aiuto P, Colasanti GB, Giannotti S. Treatment Algorithm of Periprosthetic Femoral Fracturens. Geriatr Orthop Surg Rehabil. 2022 May 10;13:21514593221097608. doi: 10.1177/21514593221097608. PMID: 35573905; PMCID: PMC9096211.
 

Final strategy decision
  • In this case, we decided to perform a simple ORIF with a plate (Depuy Synthes) due to the Vancouver B1 type of fracture and Remaining Attachment Index >  2/3
  • A full weight bearing was allowed because of her condition.
  • At 6 weeks post-op she was able to walk with her walker again

Postoperative imagery

Management of a peri prostetic femoral fracture: Remaining Attachment Index (RAI)

Comments

Login or register to post comments.