Management of a hip dysplasia in a middle-aged woman

Hip
Total Hip replacement
Management of a hip dysplasia in a middle-aged woman

In this clinical case, a 60-year-old woman presents with severe hip pain for the past year and a limp. The objectives of this case are to discuss the classifications and therapeutic options for hip dysplasia in a middle-aged patient.

Filippo Randelli
Milan, ITALY
Gaetano Pini Orthopaedic Institute
Giuseppe Fedele
Milan, ITALY
Gaetano Pini Orthopaedic Institute
Part one
Clinical presentation
  • 60 year old lady
  • 2 pregnancies
  • Hypercholesterolemia
  • High blood pressure
  • Obesity I degree
  • Deny allergies
  • Shortening right limb
  • Limping
  • Severe right hip pain since 1 year

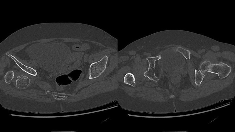
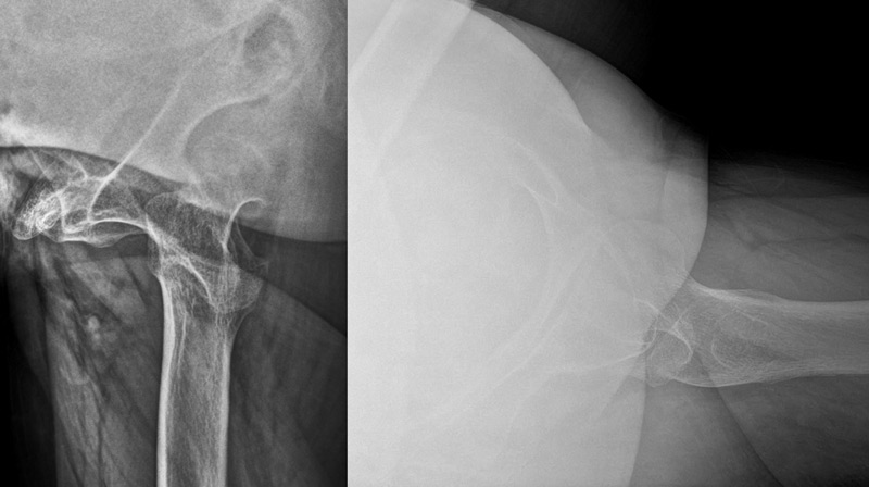
Pre-operative X-rays and CT-scan

Management of a hip dysplasia in a middle-aged woman: Pre-operative X-rays and CT-scan
Management of a hip dysplasia in a middle-aged woman: Pre-operative X-rays and CT-scan
Management of a hip dysplasia in a middle-aged woman:  Pre-operative X-rays and CT-scan
Management of a hip dysplasia in a middle-aged woman: Pre-operative X-rays and CT-scan
Management of a hip dysplasia in a middle-aged woman: Pre-operative X-rays and CT-scan
Management of a hip dysplasia in a middle-aged woman: Pre-operative X-rays and CT-scan
 Powered by Quiz Maker

 

Part two

How would you grade this dysplasia?

  • ✔️Crowe IV

How would you manage this condition? 

  • ✔️Hip replacement with Subtrochanteric osteotomy

What are the rules to respect in this kind of surgery?

  • ✔️Restoration of the hip center
  • ✔️Leg-length equalization
Final strategy decision

In this case, a total hip replacement was done through an extended anterior approach. A dual mobility cup was impacted in the true acetabulum and a subtrochanteric osteotomy, fixed with a LCP small foot plate, was performed in order to restore the lower limb length reducing the risk of nerve injury. Psoas and adductor tenonotmy was also performed. 

Surgical procedure images

video

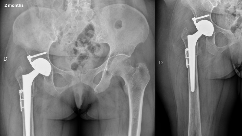
Post-operative X-rays

Management of a hip dysplasia in a middle-aged woman: Post-operative X-rays
Management of a hip dysplasia in a middle-aged woman: Post-operative X-rays
Management of a hip dysplasia in a middle-aged woman: Post-operative X-rays
Management of a hip dysplasia in a middle-aged woman: Post-operative X-rays

Clinical aspect at 8 months

Management of a hip dysplasia in a middle-aged woman: Clinical aspect at 8 months
Management of a hip dysplasia in a middle-aged woman: Clinical aspect at 8 months

Comments

Login or register to post comments.