Knee
ACL
Multi ligament
Sport related injury
Management of a chronic multiligament knee injury
In this clinical case involving a 24-year-old patient, we explore the various physical examination tests used to assess a multiligament knee injury. What is the most appropriate surgical treatment, and how should post-operative rehabilitation be managed?
Part one
Clinical presentation
- Patient : 24-year-old male patient , farmer
- Mechanism of injury: High-Energy trauma ( Motorcycle Accident)
- Initial Injury: knee sprain without associated fractures
- Initial treatment: Knee Brace Immobilization for 6 weeks, followed by physiotherapy
- The patient presented to our hospital 6 months later with persistent daily knee joint instability
Pre-op Testing
- Varus Stress Test: varus laxity at 0° and 30°of knee flexion
- Valgus Stress Test: Absence of valgus laxity at 0° and 30° of knee Flexion

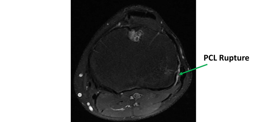
Pre operative MRI
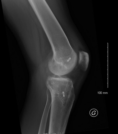
- Knee X-ray: No fractures or bony avulsion
- Knee MRI Findings:
- Rupture of the PCL, PLC and LCL
- Intact ACL
- No meniscal tear
- No cartilage injury


