What are the different therapeutic options in case of fracture in a massive reconstruction knee prosthesis?
Discover this new case involving a 69-year-old male presented by Thibaut Lucena and Kenza Limam, and put your knowledge on endoprosthetic knee replacement to the test!
- 69 y.o. male with pain, mainly at motion
- Walking only possible with crutches
- ext: -15 / flex: 70°
- No infection signs
- No skin suffering
Medical history:
- 2006: proximal right tibia fracture, osteosynthesis with plates and screws
- 2008: persistent knee pain, distal femur giant cell tumor diagnosis: removal of the osteosynthesis materials and massive reconstructive knee prosthesis
- 2019: knee prosthesis revision for aseptic loosening, new custom-made massive reconstructive knee prosthesis

What’s the right answer about endoprosthetic knee replacement?
- ❌ Component fracture is the most common complication at medium-term follow-up
Component fracture only occurs in 2% of the patients
- ❌ Long-term survivorship at 10 years is very low
Long-term survivorship range from 58 to 100% at 10 years
- ❌ Aseptic loosening is the most common complication at medium-term follow-up
Aseptic loosening only occurs in 5% of the patients
- ✔️ Infection is the most common complication at medium-term follow-up
Infection occurs in 15% of the patients
Korim MT, Esler CN, Reddy VR, Ashford RU. A systematic review of endoprosthetic replacement for non-tumour indications around the knee joint. Knee. 2013 Dec;20(6):367-75. doi: 10.1016/j.knee.2013.09.001. Epub 2013 Sep 20. PMID: 24084229.
How would you manage this condition?
- ✔️ Incomplete knee prosthesis revision with a custom-made prosthesis
Our final strategy decision was:
- Removal of the broken metaphyseal component
- Preservation of the femoral stem
- Use of custom-made Implant RescueSleeve MEGASYSTEM-C (LINK® society)
- The objective was to choose the less morbid strategy allowing the preservation of a good femoral fixation and maximal bone saving.


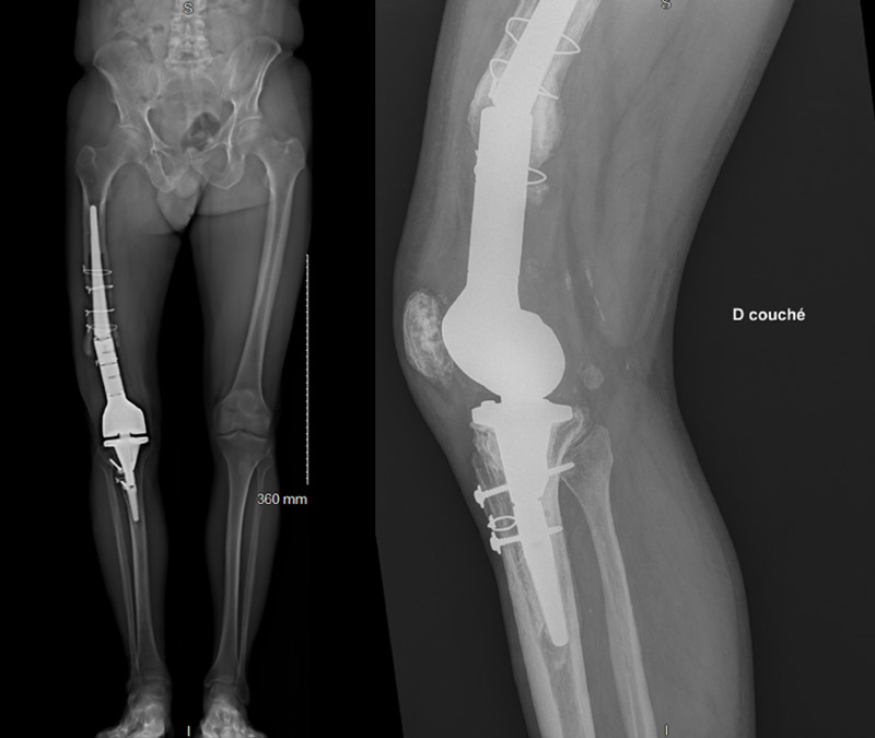
Major femoral osteolysis was noticed on distal femoral shaft until approximately the second steel strapping. This femoral height level was chosen to do the femorotomy. The remaining femoral stem was then tested and appeared to be perfectly sealed.
The appropriate size of the custom-made Implant RescueSleeve MEGASYSTEM-C (LINK® society) was then tested and chosen. The sleeve was cemented around the remaining femoral stem and fixed with 16 specific screws.
The prosthesis was then reconnected to the tibial component.
