Management of a sequela of an acetabular fracture

Hip
Total Hip replacement
Management of a sequela of an acetabular fracture

This clinical case describes the management of a 69-year-old man who sustained an acetabular fracture after a bicycle fall. His treatment was complicated by a massive pulmonary embolism, preventing immediate surgical intervention.

This case highlights the complexities and outcomes associated with delayed surgical management in acetabular fractures complicated by severe medical conditions.

Nicolas Reina
CHU Toulouse, FRANCE
Course Director

Professor Reina is Head of Hip and Trauma department, of the University Hospital in Toulouse, France. He holds a PhD in Anthropobiology. He completed a fellowship in Oxford, UK and worked in Mayo Clinic, Rochester for research.

His main focus is hip & pelvis surgery. His clinical practice comprises conservative surgery, primary and complex revision total hip arthroplasty as well as trauma for complex acetabular fractures.

Board member of French Hip Knee Surgery, he is also member of the European Hip Society and the International Board of the American Association of Hip Knee Surgeons. He published more than 150 peer reviewed publications and book chapters, and lectured in various international conferences. His research interests integrate big data in orthopedics, modern care in hip surgery such as minimally invasive techniques, and musculoskeletal system’s ability to adapt to its environment (biomechanics and anthropological variability).

Part one
Clinical presentation
  • Male, 69 ans
  • Fracture of the anterior acetabulum after a bicycle fall
  • Transferred to a peripheral hospital for internal fixation
  • Massive pulmonary embolism requiring curative anticoagulation for 3 months with impossibility of acute surgical management
  • Orthopedic treatment 6 weeks bedridden

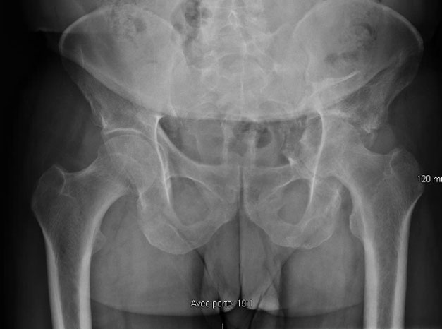
Images the day of the trauma

Sequela of an acetabular fracture: Images the day of the trauma
Sequela of an acetabular fracture: Images the day of the trauma
Sequela of an acetabular fracture: Images the day of the trauma
Sequela of an acetabular fracture: Images the day of the trauma
Sequela of an acetabular fracture: Images the day of the trauma

3 months after the trauma 

The patient walks with full weight bearing with 1 crouch 

  • 60/20/-10/ 30
Sequela of an acetabular fracture: 3 months after the trauma
 Powered by Quiz Maker

 

Part two
Final strategy decision

In this case, it was decided to perform a THA at 3 months post-traumatic: the implants used were an Optymis stem (Mathys) associated to a Trident II modular cup (Stryker) in order to stabilise it with screw. An autologous graft behind the funds by femoral head was also done

Post-operative X-Ray

Sequela of an acetabular fracture: : Post-operative X-Ray

Postoperative imagery at 6 weeks

  • 80/30/0/30
  • Walks with 1 crouch
Sequela of an acetabular fracture: Postoperative imagery at 6 weeks

What parameters are important to restore in the event of patient surgery?

  • ✔️Restoring center of rotation of the hip 
  • ✔️Restoring symmetrical lower limb length

Sariali E, Klouche S, Mamoudy P. 2012. Investigation into three dimensional hip anatomy in anterior dislocation after THA. Influence of the position of the hip rotation center. Clin Biomech 27: 562–567.
 

Which type of implant would you use ? How do you manage bone loss ?

  • ✔️ Standard non cemented acetabular cup with screws and bone grafting

Acetabular reinforcement rings (Müller, Ganz, Kerboull cross or ilio-ischiatic cages (Burch-Schneider)) combined with allograft bone have been the preferred solutionfor many years but these techniques have a high failure rate (50% at 3.3 years or 60% at 6.9 years)`

Reina N. Periprosthetic acetabular fractures. Orthop Traumatol Surg Res. 2025 Feb;111(1S):104068. doi: 10.1016/j.otsr.2024.104068. Epub 2024 Nov 22. PMID: 39581492.

Comments

Login or register to post comments.